작성정보
작성 기준일: 2025.12.18
들어가기에 앞서
구강암의 가장 많은 비율을 차지하고 있는 설암에 대해서는 작년에 한차례 포스팅했던 적이 있습니다.
이번에는 구강암의 한 종류인 잇몸에 생기는 암, 치은암(齒齦癌, gingival cancer) 이 하악에 생겼을 때 시행하는 수술법 중 하나인 변연 절제술(marginal mandibuletomy)에 대해 작성해보겠습니다.
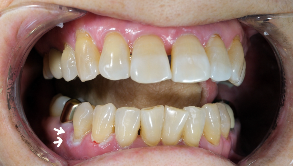
사례
구강암은 우리나래에서 1년에 약 1,100여건 내외로 진단되는데, 그 중 대부분이 설암이고, 그 외의 암들은 비교적 드물게 관찰됩니다. 특히나 잇몸에 생기는 경우는 이비인후과 보다는 아무래도 치과 치료 과정에서 발견되는 경우가 많다보니, 제 진료실에 오시는 분들의 숫자는 비교적 드문 편입니다.
오늘 소개드릴 사례는 기존에 설암으로 외부병원에서 수술을 잘 받으시고 재발없이 경과관찰 하시던 도중, 잇몸에서 새롭게 암이 진단되어 오셨던 여성 환자분입니다.

이미 진단을 받고 오셨기 때문에, 수술 계획은 비교적 빠르게 세워졌습니다. 구강암은 가능하면 한달 이내로 수술하는 것을 원칙으로 삼고 있습니다 (항상 가능한 상황은 아니라 때론 죄송한 환자분들도 많습니다).
CT/MRI 등의 검사를 통해, 다행하게도 아직 하악골을 침범하지는 않은 것으로 판단된 조기의 치은암으로 진단하였고, 이 경우 변연절제술(marginal mandibulectomy)가 가능합니다.

변연절제술은 하악골을 침범하지 않았거나, 골막 침범에 국한된 수준의 조기 치은암에 적용가능한 술식입니다. 하악골 변연절제를 넘어 부분절제부터는 고도의 재건수술이 동반되어야 합니다.


수술은 치아뿌리까지 제거하되, 하악을 약 2cm이상 남겨 향후 임플란트에 대비했습니다.

검체는 잘 확보하였으며, 치은에 붙어있던 연부조직과 일괄절제하였습니다. 안전역 확인을 위한 동결절편검사 후라 점막이 일부 적어보이나, 실제로는 2~3mm 더 여유있게 제거하였습니다.
변연절제술 후에는 해당 부위가 낮아지기 때문에 최대한 높이를 맞춰주는 것이 중요합니다. 국소 피판, 유리 피판, 피부 이식과 같은 다양한 방법이 고려가능하며, 최근에는 Jaw-in-a-day라는 수술 중 임플란트를 하는 것을 홍보하는 기관도 있으나, 개인적인 방법으로 구강외과 교수님께 문의해본 결과, Jaw-in-a-day는 상황에 따라 오히려 문제가 될 수도 있다고 하여, 일단 설근부의 근육 및 기존 설암수술에 이용되었던 피판조직을 돌려 해당 부분을 매꾸었습니다.
수술 결과 고분화도의 편평세포암종으로, 6mm x 3mm 의 크기이며, 이형성(dysplasia)는 암종 부위를 포함하여 1.6 x 0.8x 0.4cm 의 크기로 분포하였습니다. 침윤은 2.7mm, 안전역은 전 방향에서 5mm이상을 얻어 추가 치료 필요없는 pT1의 병기를 얻었습니다. 함께 제거한 하악골에서도 종양의 침윤은 없어, 좋은 결과를 확인할 수 있었습니다.
맺음말
향후 음식을 씹고 먹는데 지속적인 문제가 생길 수 있는 상태로, 어느 시점에서는 낮아진 수술 부위에 대한 치과의 협진이 계획될 예정입니다.
덧붙여
이 환자분의 경우, 설암 수술을 잘 받으셨고 해당기관에서 추적관찰 및 치은점막에 대한 조직검사도 조기에 잘 해주셨습니다. 그래서 처음 환자분을 면담했었을 때 기존의 병원에서 치료 받는 것이 어떠한지 말씀드리기도 했었습니다만, 이러한 경우 양가감정이 드는 부분은 어쩔수 없는 것 같습니다.
의사를 바꾸고, 새로운 사람을 만나는 것이 쉽지 않다는 점에서 저를 찾아주셨다는 감사함도 있지만, 한편으로는 계속적으로 이루어지는 지역병원에서의 환자 이탈은 전체적인 의료 환경에서는 항상 긍정적이지는 않을 수 있기 때문입니다.
전공의도 돌아오고 개인적인 스케쥴들도 조금 정리되어, 좀더 의학 포스팅을 늘려보겠습니다.

